ICD-10: I80
پێناسه:
مهیینی خوێن له خوێنهێنه قۆلهکانی پهلی خوارێ، ههندهک جار پهلی سهرهوه.
هۆکارهکان:
ئهو هۆکارانهی خوارهوه ڕێخۆشکهرن لۆ خوێنمهیین. بوونی هۆکاری ریخۆشکهری زیاتر دروست بوونی لهختە زیاتر دهکات
* نهجووڵانی درێژخایهن وهک کهتن له ناو جێ، دانیشتنی زۆر له گهشت یان ئیش. لۆ نمونه نووستن له گهشته دوورهکانی فرۆکه.
* چارهسهری هۆرمۆنی، لۆ نموونه ئهسترۆجین و حهبی رێگر
* جگارهکێشان
* شێرپهنجه
* زگپڕی و منداڵبوون
* نهشتهرگهری به تایبهت نهشتهرگهری سمت و ئهژنۆ
* قهڵهوی زۆر
* تهمهنی زۆر
* نهخۆشی فرهخانهیی و فرهخهپلهیی
* پهککهتنی دڵ
* ئیفلیجی
* کولی
* زهبر
سکاڵا:
ههندهک جار بێ نیشانهیه. ئازار له بهڵهک، ئهستوور بوون و سۆربوونهوه و گهرم داهاتنی بهڵهک له نیشانه باوهکانیهتی
ئازمایش:
* ئهستووربوون، سۆربوونهوه، گهرم داهاتنی بهڵهک یان پهلی تووشبوو. ئازار لهسهر ئهو خوێنهێنهری تووشبوو.
* ماسوولکهکانی بهڵهک وهک ههویر ههست پێ دهکرێن.
بنکۆڵی:
هیچ ئازمایشهکی خوێن نییه که نهخۆشییهکه دهستنیشان بکات.
دـ دیمهر لهوانهیه رێنیشاندهر بی، بهتایبهت ئهگهر دـ دیمهر نێگهتیڤ بوو دهتانی واز له نهخۆشییهکه بینی.
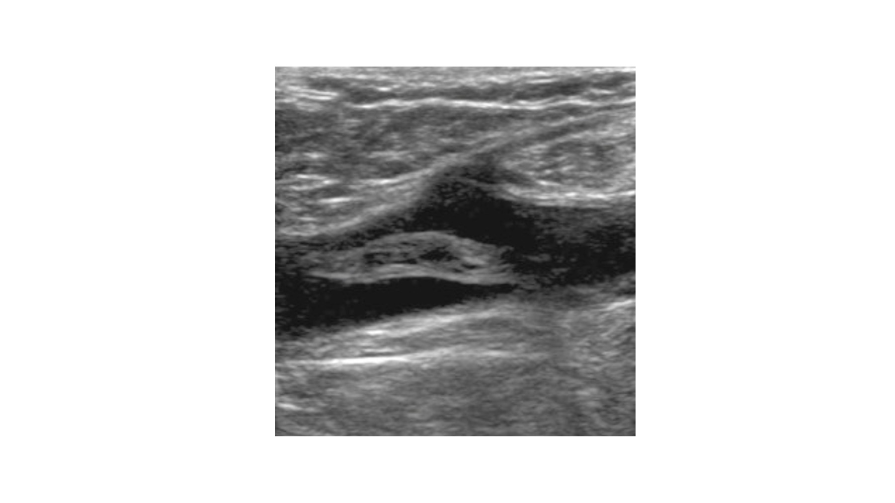
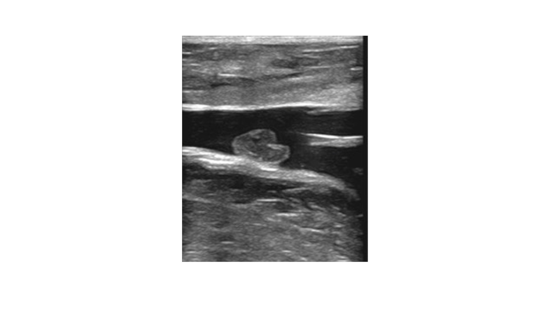
سۆنهری دوپلێکس


رهنگکاری خوێنهێن Phlebography ئهگهر سۆنهر هیچی نیشان نهدا و ئهتوش ههر گومانت ههبوو.
لێچووهکان:
کولی پیسته، لهختی خوێنهێنهکانی بن پێسته، پهنمنای لیمفاوی، تهقینی کیسهی بهیکهر، ههوی ماسولکه، پچرانی ماسولکه، کۆنیشانی پاش لهخت.
ئالۆزی:
– ترسناکترین ئالۆزی لهختەی خوێنهێنهکان ههلکشانی لهختهکهیه لۆ ناو خوێنبهرهکانی سیپهلاک (ئەوی پێی دەڵێن لەپەی سیپەلاک) و داخستنی ئهو خوێنبهرانهیه و که ههندهک جار دهبیته هۆی مردنهکی زۆر خێرا ههتا له نهخۆشی گهنجیش.
– ئالۆزییهکی دیکه کۆنیشانی پاش لهخته.

چارهسهر:
– دهرزی فراگمین و له ههمان کاتیش حهبی وارفارین بهلای کهم سێ مانگ، و ئهگهر هۆکاتی رێخۆشکهر زۆر بوون یان نهخۆش پێشتر لهختەی ههبوو دهبی ماوهکی درێز بکهیهوه لۆ شهش مانگ و ههندهک جارههتا ژیانی مابی.
فراگمین 200 یهکه\کگم کێشی لهش بهس ههرگیز له 18000 یهکه زیاتر نا. دهرزییهکه له بن پیسته دهدرێ، دهتواندرێ ههمووی به جارهک لێبدهی ئێواران یان بیکهیه دوو بهش سبهینان و ئێواران. نهخۆش دهتوانی خۆی دهرزییهکه له خۆی بدا و بهردهوام دهبی تا ئازمیشی وارفارین که پێی دهڵین INR دهگاته ئاستی پێویست لۆ چارهسهر که ئهویش 2 ههتا 3 یه
لۆ دهستکردن به حهبی وارفارین ئێوارهی یهکهم نهخۆش 3 یان 4 حهب دهخوا و ئێوارهی دووهم و سێیهمیش 3 حهب و پاشان INR وهردهگری ئهگهر گهیشتبووه چهند رۆژهک لهسهر یهک حهبهکه کهم وزیاد دهکهی تا ئازمایشهکه دهگاته نێوان 2 و 3 و ئهوجا لهسهر ئهو بڕه بهردهوام دهبی، دهبی ئهوهش بزانین که نیوه تهمهنی وارفارین درێژه و ئهو INRهی ئهورۆ رهنگدانهوهی ئهو بڕهی وارفراینه که نهخۆشهکه پێرێ وهریگرتیه، واته ئهگهر INR ئهورۆ 2 بوو و نهخۆشهکه پێرێ حهبهکی وهگرتبوو ئهوا ههر لهسهر یهک بهردهوام دهبی، بهڵام ئهوهی زیاتر باوه که ژمارهی وارفارین له رۆژهک تا رۆژهک دهگۆرێ، رۆژی واههیه نیو حهب بهسه و رۆژی واش ههیه زیاتر له 2 یان 3 بگره 4 حهبیش پێویسته. زۆر خواردن و دهرمانیش رێژهی INR دهگۆرن لۆیه باشترین رێگا بوونی نۆرینگەی تایبەتە بە وارفارین.
– ئێستا دەرمانی نوێتر هەن بۆ شکلکردنەوەی خوێن لەوانە پراداکسا، ئلیکویز، زارێلتۆ.
– جگه له دهرمان دهبی گۆرییهی کوشهر بهکاربینی لۆ ماوهیێک.

