ICD-10: K80
پێناسه:
ژان له بهر بهرد له ناو کیسهی زراو یان بۆری زراو
چهند جۆر بهرد ههیه:
بهردی کۆلیسترۆل که گهورهن و ژمارهیان کهمه
بهردی رهنگدار که ووردن و به ژماره زۆرن
بهردی تێکهڵ که لێکدراوی ههردووکی سهرهوهیه
هۆکار:
له کاتی خواردن(خواردنی چهور، سێو، هێلکه، ئاروو…) کیسهی زراو گرژ دهبی و زراو دهرژێنیته ناو ریخهلۆک، به بوونی بهرد جۆره کرژییهک له دهوری بهردهکه دروست دهبی و ئازارو ژان دهست پێ دهکا. لهوانهشه بهرد بچیته ناو بۆرییه گهورهکهی زراو و بهوهش ئازارهک بهههمان میکانیزم لهوێ و لهدهوری بهردهکانی ئهوێ دروست دهبی
سکاڵا:
زۆر جار بهردی زراو بێ ئازار و نیشانهیه.ههندهک جار هۆکاری نارهحهتییهکه له زگ که نهخۆش ماوهکی زۆر ئهزیهتیی پێوه دهکێشی له شێوهی زگئاوسان و قرپی زۆر و هێلنج هاتنهوه
ئازار: ئازاری زراو له ژێر پهراسوهکان دهبی له لای راسته، زۆر جار ههر نهرمه ئازارهکه و چهند ڕؤژ دهخایهنی. بهس ههندهک جار نهخۆشهکه ژان دهیگری و ئهو ژانهش ئهوهنده بههێزه نهخۆش خۆی لهبهر ناگری. زۆرجار ئهو ئازارانه پاش خواردنی چهور یان خوارنی هێلکه، سێو، ئاروو،ین هەندەک دەرمانی وەک مۆرفین و کۆداین…..دێت ئازارهکه زۆر جار دهداته پشت و شانی راسته. هێلنج و رشانهوه نیشانهی باون
نیشانه:
ئێش له ژێر پهراسووهکانی راسته
ئازمایش:
ئازمایشی خوێن:
ئهنزیمهکانی جهرگ به بیلیرۆبینیش(بهرزی بیلیرۆبین نیشانهی بوونی بهرده له ناو بۆری گهورهی زراو)
ئهمیلاز(بهرزی ئهمیلاز نیشانهی ههوی پهنکریاسه که زۆر جار له ئهنجامی خزانی بهردی زراو دهبی لۆ ناو بۆری پهنکریاس)
ئازمیشی هەو وەک خرۆکە سپییەکان و CRP لۆ جیاکردنهوهی ئازاری ههوی کیسهی زراو له ئازاری بهردی زراو (بهرزی خرۆکه سپییهکان وCRPنیشانهی ههوی کیسهی زراوه)
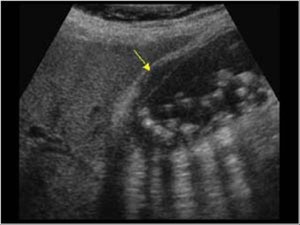
سۆنار: ئازمایشهکی زۆر باشه لۆ دیتنی بهرد و ههوی زراو و ههوی پهنکریاس ههتا بهردی ناو بۆری زراویش، بهس بهردی زراو که زۆر چووبیته خوارێ نزیک کونی زراو وریخهلۆک زهحمهت بە سۆنار دهبیندرێ

رهنگکاری بۆری زراو و پهنکریاس ERCP: ئهو ناوبینه هەروەک گەدەبینە بەس تۆزهک ئهستوورتر و درێژتره له گهدهبینی ئاسایی، له رێی ئهوه دهچییه ناو دوازدهگرێ و کونی زراو دهبینیهوه و بههۆی دهرزییهکهوه له نوکی ناوبینهکه دهچییه ناوبۆری زراو و رهنگهکهی تێدهکهی و تیشکبەرداری دەکەی.
خراپی ئهو ئازمایشه ئهوهیه که نهخۆش ئهزیهت دهخوا و زۆر جار دهبی به بهنجی گشتی ئەنجامی بدەی، لۆیه ئهوه تهنها بهکاردێ ئهگهر هیچ چارت نهبێ یان ئهگهر بتهوێ وهک چارهسهر بهکاری بینی لۆ لابردنی بهردەکە و وهرگرتنی پشکەشانه
تیشکی کۆمپیوتهری: ئهوتیشکه ههستیاری له سۆنار کهمتره لۆ دیتنی بهردی زراو لۆیه کهمتر بهکاردێ بهس زۆر جار بهکاری دههێنی لۆ دەستنیشانکردنی ههوی کیسهی زراو،یان ئەگەر گومانی گیرانی بۆری زراوت هەبوو یاخود لۆ نیشانکردنی ناخۆشیدیکهی لێچوو
تیشکی موگناتیسی بۆری زراو و پهنکریاس MRCP: ئهو ئازمایشه پێویست ناکا لۆ بهردی کیسهی زراو بهس ئازمایشهکی زۆر زۆر باشه لۆ بهردی نزیک کونی زراو که زۆر جار نه به سۆنار و نه به تیشکی کۆمپیوتهری ناتوانی بیبینی یان له شێرپهنجهی جیابکهیهوه (هەم بەرد و هەم شیرپەنچەش نیشانەکانیان وەک یەکن، زەرتک، و ئازار و بەرزبوونەوەی بلیرۆبین …)
چارهسهر:
نهرمهئازار: ئهو نهخۆشانهی نهرمهئازارهکیان ههیه که زۆر دووباره دهبیتهوه پێویسته رهچاوی خواردن بکهن و پارێز بکهن له خواردنی چهور، سێو، ئاروو، هێلکه، یان ههرخواردنهکی که تووشی ئازاریان دهکا
ههندهک نهخۆش سوود وهردهگرن له ئهنزیمهکانی پهنکریاس وهک پهنکریۆن یهک یان دوو حهب سێ جهمه پێش نانخواردن.
له کاتی وورده ئازار تهنها بهکارهێنانی حهبی وهک ڤۆلتارین یان برۆفێن لۆ زۆربهی نهخۆشهکان بهسه
ژانی زراو: ئهگهر نهخۆش ژانی گرت دهبی دهرزی یان شاف بهکاربینی به حهب باش نابی
دهرزی ڤۆلتارین 50 مگ له ماسولکهدهتانی پاش نیو سهعات دووبارهی بکهیهوه ئهگهر ئهوهی یهکهم سوودی نهبوو،دووەم دەرزی له رانهکهی دیکهی دهدهی
ئهگهر بهوه باش نهبوو یان نهخۆش ژانەکەی زۆربەهێز بوو ههر لهسهرهتاوه تێکهلی ئهفیون+ دژهکرژی بهکاردهینی وهک دهرزی سپاسمۆفێن ئهم یان دوو مل له ماسولکه یان بن پیست دهتانی پاش نیو سهعات دووبارهی بکهیهوه یان شافی سپاسمۆفێن دانهک و دووبارهی دهکهیهوه. تێکهڵی دیکهی هاوشێوهش ههن وهک کیتۆگان، دیلاودد ئاترۆپین و هتد
نهشتهرگهری:
ههر نهخۆشهک بهتایبهت ئهگهر تهمهنی تێیدا مابی و ئازاری زۆر و دووبارهی ههبی بههۆی بهردی زراو دهبی نهشتهرگهری لۆ بکرێ، که ئێستا زۆری بههۆی ناوزگبین ئەنجام دەدرێ ئاگهر نا زگکردنهوه
له نهشتهرگهری ههموو کیسهی زراو لادهبهی، لادانی بهردهکان بهتەنها سوودی نییه چونکه که کیسهکه نهخۆش کات ههر بهرد دروست دهکاتهوه، تائێستاش دهرمانهکی سهرکهوتوو نییه لۆ تاواندنهوهی بهردهکان، رێگاکانی شکاندنیش لۆ بهردی زراو ههر سهرکهوتوو نییه.
نهشتهرگهری لابردنی کیسهی زراو لۆ ئهوانهش دهکرێ ههوی کیسهی زراویان ههیه یان ههوی پهنکریاس بههۆی بهردی زراو(دهبی چەند رۆژەک چاوهرێ بکەیک تا ههوی پهنکریاسهکه هێور دهبیتهوه)

